Wisdom Teeth Removal
Wisdom teeth can crowd other teeth, emerge at the wrong angle, or never fully erupt from the gums, causing significant discomfort.
These issues can lead to increased pain, infection, and damage to your other teeth.
At Fairfax Family Dental Care in Fairfax, VA, we can perform virtually painless wisdom tooth removal to protect your oral health.

Are You in Pain? Call Us for Emergency Care
When left untreated, a wisdom tooth can cause severe pain and infection that has the potential to spread throughout your body. Contact our 24/7 call center for an emergency appointment if you are experiencing extreme pain or otherwise need urgent care.
What Are Wisdom Teeth? Your Third Set of Molars

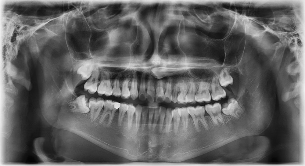
A Closer Look at Wisdom Tooth Growth
Prompt Treatment Can Prevent Complications Contact Our Practice For a Wisdom Teeth Removal Consultation
You should have your wisdom teeth examined even if you are not experiencing any pain or dental issues. Our experienced dentists can review your X-rays to determine the growth pattern of your wisdom teeth to ensure they will not affect your oral health.
We have extracted wisdom teeth for over 30 years at our Fairfax, VA, practice. Our team understands when it is necessary to remove your third molars, even if it is to prevent future issues from forming.
Don't wait for your wisdom teeth to cause problems. Contact our Fairfax, VA, practice today to request your wisdom tooth removal consultation.
(703) 385-0303
"They are truly the best." Patients Praise Our Caring Team
"I have been going to Fairfax Family Dental Care for many years now and wouldn’t think of going anywhere else. My dental hygienist, Cindy, is simply wonderful. Competent, gentle and a pleasant person. Dr. Kamali is also amazing. He has an incredible bedside manner and I have complete confidence in him. Compassionate and knows his stuff. They are truly the best." Frederick Jones, 5-Star Review, 2023
Why Fairfax Trusts Us for Wisdom Teeth Removal
Advanced Technology
Our Fairfax dental practice uses the latest state-of-the-art technology available in dentistry. We use the world's most advanced X-ray machine so we can have a clear picture of how your wisdom teeth are growing. We can suggest and perform the best possible treatment with the help of our advanced technology.
Experienced Dentists
Drs. Kirksey, Simanek, and Kamali each have over ten years of dentistry experience. All of our dentists also have advanced training that allows them to provide specialized treatment that most dentists can't. Our experienced team can perform many oral surgeries, from impacted wisdom teeth extraction to dental implant placement.
No Need for Referrals
While many dental offices need to refer patients to oral surgeons for complex procedures, we can take care of all your oral health needs under one roof. This ensures comprehensive care for you and your family and avoids the hassle of visiting multiple providers for dental care.
Who Needs Wisdom Teeth Removal? Here's When We Recommend Treatment

Preventative Measures
At Fairfax Family Dental Care, we generally recommend that most young adult patients have their wisdom teeth removed as a preventative measure. Wisdom teeth removal and recovery are easier at a younger age before the roots and bone have fully formed and the teeth are firmly anchored in place.

Protective Treatment
Adults can also benefit from wisdom teeth removal when they are either causing problems now or are likely to in the future. Wisdom tooth removal can alleviate significant pain and discomfort caused by erupting or impacted teeth and help treat any infection that may have set in the tooth.
Our Quality Care Creates Lifetime Patients and Great Experiences
I have been going here for 7 years. Love this place!
View on GoogleGreat experience all the time .Cindy is just wonderful.all the staff is very friendly.10/10
View on GoogleWhat to Expect During Wisdom Teeth Removal Restored Oral Health in Under an Hour
Unlike many practices, we are able to perform complex extractions of impacted teeth and will not need to refer you to an outside oral surgeon. Wisdom teeth removal generally takes 45 minutes or less. With local anesthetic and sedation options, you can expect little to no discomfort during your procedure.
With local anesthetic and sedation options, you can expect little to no discomfort during your procedure.
Heal Quickly and Avoid a Dry Socket
/
Dry socket is a painful condition that can occur after tooth removal. It can happen if blood clot at the extraction sites becomes dislodged, exposing the underlying tissue and causing pain. To prevent dry socket, avoid foods or liquids that are overly hot, drinking through a straw, smoking, and drinking alcohol during your recovery.
When to Contact Our Office After Wisdom Tooth Removal
Pain
You are experiencing pain at the extraction sites around day three or four after wisdom teeth removal.
Fever
You have developed a fever, which could be a sign of infection.
Numbness
If you are experiencing numbness that lasts longer than a day or spreads outside the extraction site, our dentists need to ensure there is nothing more serious going on.
Bleeding
You experience bleeding more than two days after surgery.
We're Here for You After Surgery Contact Us With Your Wisdom Tooth Removal Questions
Our dentists and office staff are here for all our patients following their wisdom tooth removal surgeries. We want to ensure you heal quickly and safely so you can maintain comfort and good oral health. Do not hesitate to contact our office following your procedure if you have any questions or concerns. We are always happy to help.
Contact our Fairfax, VA, practice with any questions or to request your wisdom teeth removal consultation today.
Read More Reviews From Our Patients Who Think Our Friendly Staff Is Worth Five Stars
Another great experience with the professional staff at Fairfax Family Dental.
View on GoogleMs. Irene was outstanding! Did thorough careful work. Was professional, approachable, caring. Took time and did the best on every step. I will definitely come back to the clinic for her only! Thank you, Ms. Irene!
View on GoogleRecovery and Aftercare How You Can Prevent Irritation and Damage
Most patients need at least a few days off school or work after having their wisdom teeth removed. Your dentist can prescribe a pain medication to alleviate any discomfort and will provide you with detailed aftercare instructions.
Be sure to follow your dentist's instructions to avoid infection or dry socket and promote safe healing.

Practice Good Oral Hygiene
While maintaining oral hygiene is important for preventing infection, you should avoid brushing your teeth, rinsing your mouth, or using mouthwash for the first 24 hours after surgery. After 24 hours, you may resume brushing your teeth (but be very gentle near the extraction sites). Use a saltwater rise every two hours and after meals.

Manage Pain
Facial swelling and mild pain are common after wisdom teeth removal. You should apply cold packs to your cheeks and jaw to help keep swelling down. Your dentist may recommend over-the-counter pain medication or prescribe medication to manage pain and swelling following your procedure.

Avoid Certain Foods
Stick to soft foods after surgery, like rice, pasta, or applesauce. Avoid hard, spicy, crunchy, or sticky foods that may irritate the extraction site. Hard and sticky foods can also dislodge the blood clot and cause dry socket. Follow your dentist's instructions on when you can transition to other foods.
Your Comfort Is Our Priority "We Will be Forever Grateful"
"We are incredibly fortunate to have found such a compassionate and dedicated dentist like you. I have spent many hours at Fairfax Family Dental Care and reflect on how appropriate the word “care” is here. The care for patients like us is obvious, but I also see the care you have for your staff. Your commitment to going above and beyond is truly commendable. Please accept our heartfelt thanks for you and your team’s exceptional care, professionalism, and genuine concern for my son's well-being. You have made a lasting, positive impact on our lives, and we will be forever grateful." Tom Saporito, 2023

